The image shows a person with a bright smile, displaying perfect teeth and holding an oral hygiene device, suggesting dental care or promotion.

Smile Gallery

The image shows a person with a bright smile, displaying perfect teeth and holding an oral hygiene device, suggesting dental care or promotion.

Composite Case

A close-up view of an individual s teeth and upper lip, showcasing a bright smile with pinkish gums.

Before

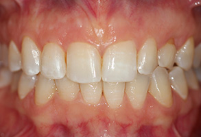
The image shows a person wearing a dental appliance with a wide smile, revealing straight white teeth.

After

Composite Case

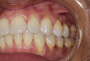
The image shows a close-up of an open mouth with visible teeth, including yellowing and staining, indicating poor oral hygiene.

Before

The image features a close-up of an open mouth with a set of teeth, showcasing the upper and lower dental arch.

After

Mix of Veneers & Composite

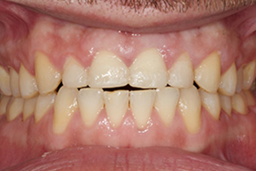
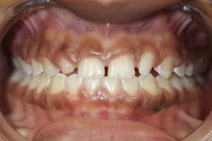
A close-up of a person s mouth with crooked, yellowed teeth and a missing front tooth.

Before

The image shows a close-up of a person s teeth with visible yellowing and staining, which appears to be the result of smoking or poor oral hygiene.

After

Full Upper Veneer Case

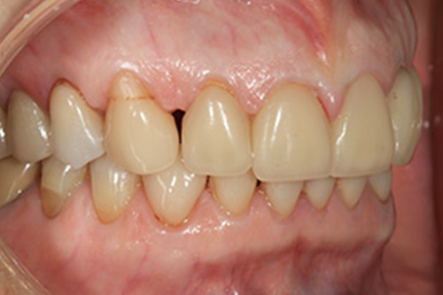
A close-up photograph of a person s mouth showing teeth with yellowing and staining.

Before

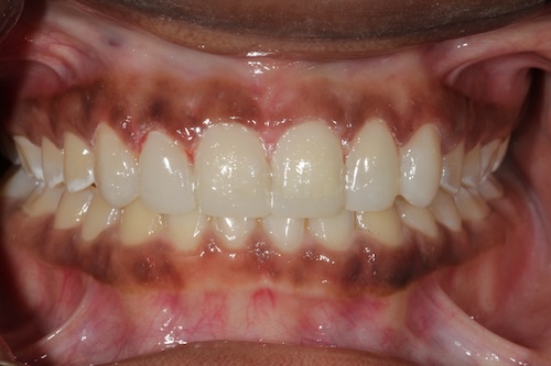
The image is a close-up photograph of an individual s mouth showing a set of teeth with some staining and wear, and the person appears to be smiling or making a facial expression that exposes their teeth.

After

Anterior Veneers

After
The image shows a close-up of a person s teeth with yellowing and staining, possibly indicating poor oral hygiene or the need for professional dental care. The image shows a close-up of a person s teeth, with the focus on the front teeth and upper lip area. The image shows a close-up of a person smiling, revealing their teeth, with the focus on oral hygiene.
Before
A close-up view of a person s mouth with yellowed teeth, showcasing a large gap between the upper and lower front teeth.

Veneers

After
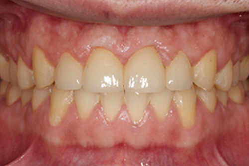
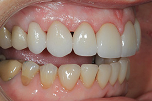
The image shows a close-up of a person s teeth, with the focus on a set of white, straight teeth. The image shows a close-up of an open mouth with a set of white teeth, revealing a dental implant and gumline. A close-up of a person s bright white teeth, showcasing a clean and healthy smile.
Before
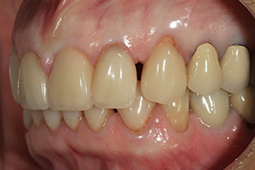
The image shows a close-up of a person s mouth with teeth, including an upper front tooth that is missing. The image shows a close-up of a person's mouth with teeth that appear to be in poor condition, likely due to advanced decay or gum disease. The image shows a close-up of a human mouth with teeth, including one that appears to be missing or in the process of being removed.

Four Crowns

After
A close-up of a man's smiling face with visible teeth and a beard. The image shows a close-up of a person's teeth with visible yellow staining, indicative of nicotine use.
Before
The image shows a close-up of a person's mouth with a noticeable smile, featuring teeth with yellow stains and a metal bracket on the upper front tooth. The image shows a close-up of a person's mouth with a set of yellowed teeth, some of which are missing.

Contact Us

Schedule your appointment online or give us a call to get started today.

Redwood Family Dental 140 Maplewood Ave, Maplewood, NJ 07040